| 网站首页 | 医院概况 | 医院动态 | 科室介绍 | 专家介绍 | 医院管理 | 就医指南 | 科研教学 | 医院文化 | 健康园地 | 医院邮箱
医院邮箱
hnldzxyy@163.com |
|
|
|
【健康科普】美学贴面:点亮自信笑容的秘密武器
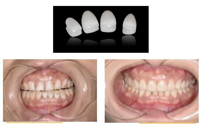
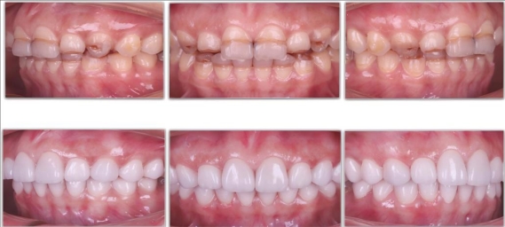
家住娄底的张女士长期被牙齿问题困扰,牙齿发黄、形态不佳,这使她在生活中极为自卑,与人交流时总是下意识地抿嘴,不敢展露笑容。更让她痛苦的是,三年前她曾在一诊所进行过树脂补牙,出现了部分树脂脱落,牙齿变得白黄相间,更加难看了。这次失败的经历让她对口腔治疗产生了恐惧,直到她来到娄底市中心医院口腔科就诊,专家团队经过详细的检查和沟通,为她制定了贴面美容修复方案。术后,张女士的牙齿变得洁白整齐,重新绽放出自信灿烂的笑容,整个人的状态都焕然一新。

像张女士这样,因牙齿外观问题而影响生活的人不在少数,牙齿贴面为他们解决了烦恼。那么,美学贴面究竟是什么呢?
美学贴面是一种牙齿美容修复技术,它通过在牙齿表面贴上一层薄薄的修复体,来改善牙齿的颜色、形状、大小等外观问题。它具有极高的光泽度和逼真的透明度,色泽自然,与天然牙齿极为相似,修复后能达到近乎完美的美学效果。瓷贴面的耐磨性强,使用寿命相对较长,一般可以维持10-20年左右。
牙齿形态不佳,如牙齿过小、牙齿间隙过大、牙齿轻微扭转等问题,贴面也能通过精确的设计和制作,重塑牙齿外观,使其整齐美观。

相对于全冠修复,美学贴面主要有如下优点:
1.微创
美学贴面在修复过程中,仅需少量磨除的牙体组织,一般在0.3~0.8mm左右,间隙牙、过小牙等甚至不需要磨除牙体组织。微创制备的同时也能形成良好的粘接效果,保持天然牙齿的长期健康。
2.美观
仿真效果好:瓷贴面具有与天然牙体组织相同的颜色效果,其色泽逼真,形态自然,与天然牙颜色非常相近,避免出现颈缘黑线现象。
颜色可调:瓷贴面制作时有多种不同颜色的材料可选择,同时可以采用外染色进行颜色细调,以满足患者对牙齿颜色的个性化需求。
3.健康
贴面具有良好的生物相容性,有效避免牙龈及周围组织的刺激,减少牙龈炎症和过敏反应等。
美学贴面就像是为牙齿穿上了一件美丽的 “外衣”,帮助众多像张女士一样的患者重获自信笑容。如果你也有牙齿美观方面的困扰,请来娄底市中心医院口腔科就诊。
娄底市中心医院作为集医疗、科研、教学、预防与保健为一体的国家三级甲等综合性医院,承担着娄底市及娄底周边地区百姓的口腔医疗健康保障任务。该院口腔科是国家级口腔颌面外科住院医师规范化培训基地、娄底医学会口腔医学主委单位、湖南省口腔癌多学科协同诊疗(MDT)专科联盟副主席单位、中南大学湘雅医院医联体口腔医疗专科联盟单位、湖南省口腔专科联盟单位、湖南省儿童口腔疾病综合干预项目基地。该科设有牙体牙髓牙周科、口腔颌面牙槽外科、修复种植科、正畸预防科、口腔综合科等5个亚专科门诊,现拥有国内一流牙科综合治疗台,设施完善的口腔消毒设备,配备了速迈显微镜、超声骨刀机、无痛麻醉机、半导体激光、啄木鸟种植机、龈下喷砂等国际先进的诊疗设备,致力于为患者提供全方位、高质量的口腔医疗服务。

康文明
口腔修复硕士,主治医师。湖南省口腔医学会口腔颌面数字医学及影像学专委会委员,娄底市医学会口腔专业委员会委员兼秘书。擅长各类固定义齿、可摘局部义齿、全口义齿、种植义齿修复。前后牙各类全瓷美学修复。残根、残冠保存修复,微创修复。
微信挂号:修复种植科、口腔综合科
门诊地址:门诊4楼
坐诊时间:周一、 周二、周三、周四、周六
|
|
娄底市中心医院 版权所有 2006 备案号:湘ICP备11018487号-1 湘卫网申字(2011)第016号 地址:湖南省娄底市长青中街51号 制作维护:娄底市国联信息服务有限公司 娄底市中心医院 宣传外联部 乘车路线:市内1、3、6、11、13、19、20路公交直达 |
![]() 湘公网安备 43130202000120号 |
















