| 网站首页 | 医院概况 | 医院动态 | 科室介绍 | 专家介绍 | 医院管理 | 就医指南 | 科研教学 | 医院文化 | 健康园地 | 医院邮箱
医院邮箱
hnldzxyy@163.com |
|
|
|
“蛋蛋”的忧伤——睾丸扭转篇
那是一个风雨交加的下午,快下班了,来了一个20岁的小伙做睾丸彩超,询问病史得知男生的“蛋蛋”已经疼了一天,而且是越来越痛,我心中顿感不妙,彩超一看男生左侧的睾丸已经没有血流信号了。我立刻告知泌尿外科医生,紧急手术,术中见左侧精索扭转720°,睾丸明显坏死,无保留价值,患者家属只能痛心选择切除。

又是一个风雨交加的夜晚,妈妈带着 “蛋疼”2小时的男孩来做彩超,我一看男孩左侧睾丸血流减少,考虑睾丸扭转,立刻通知急诊科医生,急诊手术,最终成功的保住了小男孩的“蛋蛋”。
“蛋疼”无小事,
让我们一起来了解这非常危险的睾丸扭转。
●什么是睾丸扭转?
又称“精索扭转”,本质就是供应睾丸的血管发生了扭转,导致睾丸缺血坏死。如果把睾丸比作“南瓜”,那精索就是“南瓜藤”,“南瓜藤”给“南瓜”提高养分,如果“南瓜藤”扭转打结了,那么“南瓜”就会因为没有养分而枯死。睾丸扭转就是这样,如果不及时诊治,睾丸就会因为没有血供而坏死。
●睾丸扭转的临床表现
1.痛:多在睡眠中发病,突发睾丸剧痛,持续性,检查时轻轻抬举睾丸疼痛加剧。

2.肿:肉眼可见患侧睾丸肿大,有明显压痛,阴囊皮肤红肿。
●睾丸的病变程度取决于扭转程度和时间

临床资料表明:如果在疼痛开始6小时内手术,睾丸挽救率为80%-100%,俗称“黄金6小时”;10小时以内者70%,超过10小时者20%,超过24小时睾丸存活率几乎为0%。
●睾丸扭转首选什么检查?
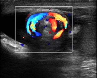
高频彩超——图像清晰,准确度高,方便快捷,故作为首选。
1.直接征象:扭转的精索,“漩涡征”

2.间接征象:因精索扭转缩短而睾丸位置抬高,睾丸长轴由正常的斜位扭转为横位,睾丸回声不均。彩色多普勒:双侧对比,早期患侧血流信号明显减少,晚期血流信号消失。

●最重要的提示
日常生活中,不少患者对睾丸扭转麻痹大意,疼痛时一忍再忍,以致延误了最佳治疗时机,个别人因此丧失生育能力,造成终生不幸。因此,如果突然出现阴囊肿胀、疼痛,特别是青少年,应该首先想到本病,立刻去泌尿外科或者急诊外科检查诊治,一定要走绿色通道,争取“黄金6小时”。
文稿:包佳文(超声医学科)
初审:林能文
|
|
娄底市中心医院 版权所有 2006 备案号:湘ICP备11018487号-1 湘卫网申字(2011)第016号 地址:湖南省娄底市长青中街51号 制作维护:娄底市国联信息服务有限公司 娄底市中心医院 宣传外联部 乘车路线:市内1、3、6、11、13、19、20路公交直达 |
![]() 湘公网安备 43130202000120号 |
















